ارتباط جریان خون با سفتی مغز
به گزارش شهدای ایران، هیپوکامپ یکی از اولین نواحی در مغز است که تحت تاثیر بیماری آلزایمر قرار میگیرد؛ اختلال مغزیای که حافظه و مهارتهای تفکر و همچنین توانایی انجام کارهای روزانه را از بین میبرد.
بیماری آلزایمر که در عصر حاضر بسیار شایع شده است میتواند جنبههای مختلفی از مهارتهای معمول زندگی را در افراد مبتلا تحت تاثیر قرار دهد که یکی از آنها توانایی تکلم است.
بیماری آلزایمر از نام «آلوئیس آلزایمر»، پزشکی که در سال ۱۹۰۶ میلادی متوجه تغییرات غیرطبیعی در بافت مغز یک بیمار متوفی شد، نامگذاری شده است. آلزایمر نوعی زوال عقل است و بر تواناییهای شناختی بیماران تاثیر میگذارد.
این بیماری پیشرونده است و عموماً در جمعیتهای مسنتر دیده میشود. همچنین این بیماری به آرامی عملکردهای ذهنی را تحت تاثیر قرار میدهد و بر حافظه و مهارتهای شناختی تأثیر میگذارد.
دو پروتئین «بتا آمیلوئید» و «تاو» برای مغز سمی میشوند و در نتیجه، به هم ریختگی نورونها و پلاکهای ساخته شده بر عملکرد طبیعی مغز تأثیر میگذارد.
در یک مغز سالم، میلیونها نورون با هم کار میکنند تا فکر و عمل با هم ارتباط برقرار کنند. بتا آمیلوئید و تاو به سایر قسمتهای مغز گسترش مییابد، نورونها میمیرند و مغز کوچک میشود.
معمولاً یکی از اولین مناطق آسیب دیده «هیپوکامپ» است که مسئول تشکیل خاطرات است. این شکلگیریِ خاطرات با درک معنایی مرتبط است و به افراد اجازه میدهد جملات را تمام کنند و کلمات را به اشیاء و موضوعات مرتبط کنند.
یک متخصص در این زمینه میگوید: برای اولین بار، ما متوجه شدیم که جریان خون بیشتر، ناحیه هیپوکامپ را سفتتر (الاستیسیتهی کمتر) میکند. این تحقیق نشان میدهد که یکی از عوامل موثر بر سلامت هیپوکامپ ممکن است کاهش جریان خون باشد. این کشف، مسیرهای بالقوه جدیدی را برای تشخیص آلزایمر قبل از تحلیل رفتنِ حافظه آشکار میکند.
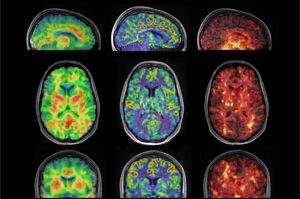
متخصصان مغز ۱۷ داوطلب بین ۲۲ تا ۳۵ سال را با استفاده از الاستوگرافی تشدید مغناطیسی (MRE) اسکن کردند. MRE که تصویربرداری تشدید مغناطیسی (MRI) را با امواج صوتی ترکیب میکند، اطلاعاتی را برای ایجاد تصاویر دقیق از سطوح مختلف سفتی در مغز به متخصصان ارائه میدهد.
متخصصان گفتند: ما از طریق MRE میخواستیم بفهمیم که چگونه جریان خون میتواند به طور بالقوه بر سفتی مغز تأثیر بگذارد. هیپوکامپ تنها بخشی از مغز است که این رابطه بین جریان خون و سفتی را نشان میدهد.
به گزارش نشریه تخصصی «مدیکال اکسپرس»، استفاده از عواملی مانند جریان خون و مولفههای سفتی برای تعیین کمیت سلامت مغز میتواند منجر به تشخیص زودهنگام بیماریهای عصبی مانند آلزایمر شود که در حال حاضر هیچ درمانی ندارد. هرچند برخی از مطالعات نشان میدهد که افراد مبتلا به آلزایمر نرم شدن را در هیپوکامپ نشان میدهند. یک فرضیه این است که در اوایل ابتلا به آلزایمر، کاهش جریان خون میتواند منجر به این تغییر در مغز شود.
متخصصان میگویند: این مطالعه بر روی سؤالی متمرکز شد که چگونه جریان خون و سفتی مغز مرتبط هستند. ما میخواهیم این ارتباط بین سفتی مغز و جریان خون را بهتر درک کنیم و معیارهای تشخیصی را ارائه کنیم.
این یافتهها در مجله Interface Focus منتشر شده است.



